Lake Forest Oral Surgery
Suzin Um DDS
Request an Appointment
Like us on Facebook
Visit us on Yelp
Leave a Google Review
Instagram
(949) 203-3177
26700 Towne Centre Drive Suite 280. Foothill Ranch, CA 92610
26700 Towne Centre Drive Ste 280, Foothill Ranch, CA 92610
Menu
Call
Book Now
Map
Home
About
Our Team
Technology
Office Pictures
Services
View All
Navigation Guided Surgery
Wisdom Teeth Extraction
Dental Implants
Anesthesia
Impacted Canines
All-on-4® Dentures
Bone Grafting & Sinus Lifts
Dental Trauma
Extra Teeth or Supernumerary Teeth
Oral Lesions & Growths
Oral Surgery & Women's Health
Tissue Engineering
TMJ Disorders
Smile Gallery
Testimonials
Patient Info
View Patient Info
Your First Visit
Forms
Financial
FAQs
Referring Doctors
Contact
Lake Forest Oral Surgery
>
Smile Gallery
>
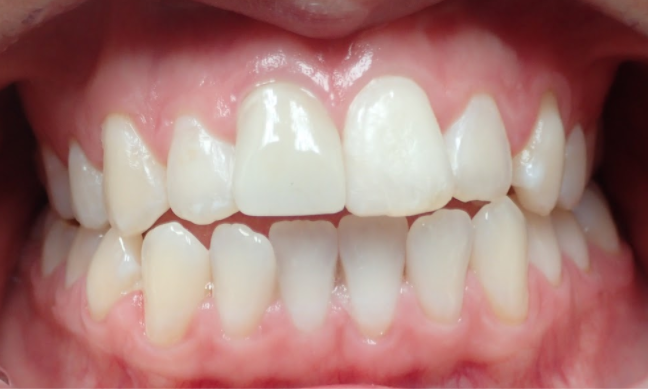
Dental Trauma Treatment
Dental Trauma Treatment
Return to Smile Gallery
Next
Before
After
Have Questions? Get in Touch
Contact Us
If you have difficulty using our website, please
email us
or call us at
(949) 203-3177
View the
ADA Accessibility Statement
Turn on ADA Views
Privacy Policy
OK!
×
×
Contact Us Today
Give Us A Call
Lake Forest Oral Surgery -
(949) 203-3177
Send Us an Email
Request an Appointment
Contact Us
Ready to Schedule an Appointment?
Book Online
Have Questions? Contact Us:
Required Field
Your Name:
Phone:
Email:
Are you a new patient?:
Are you a?
New Patient
Current Patient
How would you like us to contact you?
Please choose
Email
Call
How did you hear about us?
Please choose
I'm an existing patient
Google/Bing
Mailer
Word of mouth
Social media
Other
Who Referred You?:
Appointment Preferences
Monday
Tuesday
Wednesday
Thursday
Friday
Saturday
Your Message:
This site is protected by reCAPTCHA and the Google
Privacy Policy
and
Terms of Service
apply.
Sending...
×
This Patient's Experience
Loading Testimonial...
Loading Case...