Lake Forest Oral Surgery

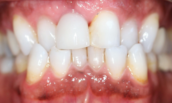
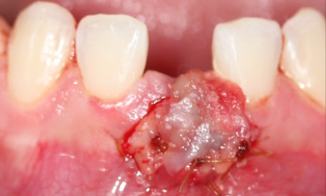
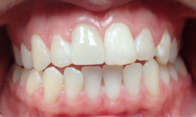
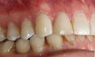
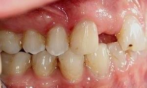
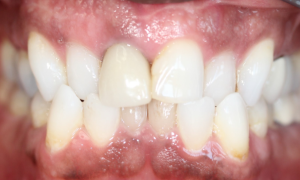
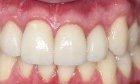
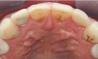
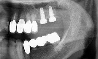
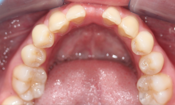
Smile Gallery

Dr. Suzin Um is a board certified Oral and Maxillofacial Surgeon and has the skill and expertise to treat a variety of complex oral health concerns. 

Improve your smile today – call to schedule a consultation!
Smile Gallery Categories
If you have difficulty using our website, please email us or call us at (949) 203-3177
View the ADA Accessibility Statement